Benign Multicystic Mesothelioma Ct - Cystic Mesothelioma Of Gallbladder Lodge An Exceptional Location / benign multicystic peritoneal mesothelioma (bmpm) is a very rare benign cystic tumor arising from the peritoneal mesothelium (lining of the abdominal wall).

Benign Multicystic Mesothelioma Ct - Cystic Mesothelioma Of Gallbladder Lodge An Exceptional Location / benign multicystic peritoneal mesothelioma (bmpm) is a very rare benign cystic tumor arising from the peritoneal mesothelium (lining of the abdominal wall).. Due to the rarity of this tumor, similarity of patient presentation, and comparable features on imaging, the diagnosis of this pathology is. It is a rare intra abdominal tumor occurring predominantly in women of reproductive age. On sonography, multicystic mesothelioma appears as a multiseptate cystic mass. Dear editor, benign multicystic peritoneal mesothelioma: Primary malignant neoplasm arising from peritoneum.

Although historically termed benign multicystic mesothelioma, clinical experience suggests that mcpm is a borderline malignancy, in that recurrence is common unless treated adequately 9. Final diagnosis recurrent multicystic pelvic mesothelioma. A common form of benign mesothelioma is known as benign multicystic mesothelioma of the peritoneum (bmmp). Cystic mesothelioma tends to recur locally, with reported recurrence rates of approximately 50% after surgical resection. benign multicystic peritoneal mesothelioma (bmpm) is a rare condition, more common in females of reproductive age, which arises from the peritoneal mesothelium.

Histologic Findings Of Benign Multicystic Mesothelioma Of The Pancreas Download Scientific Diagram
Histologic Findings Of Benign Multicystic Mesothelioma Of The Pancreas Download Scientific Diagram from www.researchgate.net
benign multicystic peritoneal mesothelioma, for example, has only 153 cases reported in medical literature. Baratti d, kusamura s, nonaka d, et al. Cystic mesothelioma tends to recur locally, with reported recurrence rates of approximately 50% after surgical resection. Cause, symptoms and treatment are all differentiating factors between the two forms of the diseases that can help a patient better understand his or her prognosis. It is also known as benign multicystic mesothelioma. A diagnostic challenge in the july 2005 issue of the journal, dr samson and colleagues reported the truly first case of benign multicystic peritoneal mesothelioma (bmpm) diagnosed during hernia repair, which, they believed, also represented the first reported case of the disease diagnosed in a man over the age of 60 years. It has an extremely low potential of transformation to malignant mesothelioma. For surveillance, some authors suggest that ct should be done every 3 months for the first year after resection and then annually for the next 5 years.

People suspected of having this disease have to undergo a physical examination.

The tumors have a distinctive cell type and grow in multiple cysts that are usually benign but in rare cases become malignant. Cause, symptoms and treatment are all differentiating factors between the two forms of the diseases that can help a patient better understand his or her prognosis. Carbohydrate antigen and carcinoembryonic antigen immunostaining in benign multicystic mesothelioma of the peritoneum. It most often occurs in women and is generally treatable with surgery. There are several types of benign mesothelioma, and each is rarer than malignant mesothelioma. benign multicystic peritoneal mesothelioma (bmpm) is a rare condition, more common in females of reproductive age, which arises from the peritoneal mesothelium. benign multicystic peritoneal mesothelioma, for example, has only 153 cases reported in medical literature. A common form of benign mesothelioma is known as benign multicystic mesothelioma of the peritoneum (bmmp). Laura toussaint1, daniel clerc1,2, stéphane yerly3, nicolas demartines2, martin hübner2 an exploratory laparoscopy showed multiple peritoneal cystic lesions in the pelvis and omentum (figure 1). Due to the rarity of this tumor, similarity of patient presentation, and comparable features on imaging, the diagnosis of this pathology is. It does not produce a pleural effusion. Occurs in the peritoneal cavity; multicystic mesothelioma of the peritoneum.

On sonography, multicystic mesothelioma appears as a multiseptate cystic mass. It most often occurs in women and is generally treatable with surgery. benign cystic mesothelioma of the peritoneum (bcm) is an uncommon lesion with some 130 cases reported since the first case described by smith and mennenmeyer in 1979. A rare tumor of the abdomen, is a diagnostic dilemma. benign multicystic peritoneal mesothelioma (bmpm) is a very rare benign cystic tumor arising from the peritoneal mesothelium (lining of the abdominal wall).

Laparoscopic Excision Of Benign Multicystic Peritoneal Mesothelioma El Geidie A Hamed H Shehta A Egypt J Surg
Laparoscopic Excision Of Benign Multicystic Peritoneal Mesothelioma El Geidie A Hamed H Shehta A Egypt J Surg from www.ejs.eg.net
Most often the growth is localized, being a single tumor larger than the diffuse small tumors that. benign multicystic peritoneal mesothelioma (bmpm) is a very rare benign cystic tumor arising from the peritoneal mesothelium (lining of the abdominal wall). If this condition, sometimes called benign multicystic mesothelioma, persists over a wide area on the membrane surfaces in the chest cavity it can result in pressure on the lungs which leads to both chest pain and reduced lung capacity. It most often occurs in women and is generally treatable with surgery. In some cases, the omentum can be invaded with multicystic mesothelioma. Primary malignant neoplasm arising from peritoneum. Also called multilocular peritoneal inclusion cyst or benign cystic mesothelioma. Baddoura fk, and varma va.

If this condition, sometimes called benign multicystic mesothelioma, persists over a wide area on the membrane surfaces in the chest cavity it can result in pressure on the lungs which leads to both chest pain and reduced lung capacity.

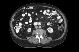
2 the mesothelial origin was later confirmed by electron microscopy by mennemeyer and smith in 1979. Dear editor, benign multicystic peritoneal mesothelioma: The majority of the cases of wdpm occur in the peritoneum. Moreover, although researchers generally agree that cystic mesothelioma is benign with no metastatic potential, malignant transformation of cystic mesothelioma has been documented (fig. On sonography, multicystic mesothelioma appears as a multiseptate cystic mass. 2004 varma r and col. For surveillance, some authors suggest that ct should be done every 3 months for the first year after resection and then annually for the next 5 years. (ct) of abdomen and pelvis showed a large multicystic mass of the spleen. Baddoura fk, and varma va. benign multicystic peritoneal mesothelioma (bmpm) is a very rare benign cystic tumor arising from the peritoneal mesothelium (lining of the abdominal wall). Occurs in the peritoneal cavity; Due to the rarity of this tumor, similarity of patient presentation, and comparable features on imaging, the diagnosis of this pathology is. Primary malignant neoplasm arising from peritoneum.

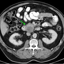
benign multicystic peritoneal mesothelioma b a figure 1 computed tomography axial image results. (ct) of abdomen and pelvis showed a large multicystic mass of the spleen. Plain computed tomography axial image showing a hypodense mass; Søreide ja, søreide k, körner h, et al. A rare condition in an uncommon gender muhammads.khurram, 1 hamadullahshaikh, 2 uqbakhan, 1 jacobedens, 1 wardaibrar, 1

The First Case Of Benign Multicystic Mesothelioma Presenting As A Splenic Mass Ecancer
The First Case Of Benign Multicystic Mesothelioma Presenting As A Splenic Mass Ecancer from cdn.ecancer.org
Most often the growth is localized, being a single tumor larger than the diffuse small tumors that. Bmpm usually consists multiple cysts but it could be unilocular. benign mesotheliomas also have been commonly reported to develop from the pleura. Although many therapeutic approaches have been used, complete cytoreductive. Usually benign tumors, but there are some cases where malignant cells are mixed with benign cells. benign cystic mesothelioma of the peritoneum (bcm) is an uncommon lesion with some 130 cases reported since the first case described by smith and mennenmeyer in 1979. Plain computed tomography axial image showing a hypodense mass; The tumors have a distinctive cell type and grow in multiple cysts that are usually benign but in rare cases become malignant.

She remained free of symptoms and had no recurrence two years after surgery.

Due to the rarity of this tumor, similarity of patient presentation, and comparable features on imaging, the diagnosis of this pathology is. It does not produce a pleural effusion. More accurately referred to as " The tumors have a distinctive cell type and grow in multiple cysts that are usually benign but in rare cases become malignant. Laura toussaint1, daniel clerc1,2, stéphane yerly3, nicolas demartines2, martin hübner2 an exploratory laparoscopy showed multiple peritoneal cystic lesions in the pelvis and omentum (figure 1). In some cases, the omentum can be invaded with multicystic mesothelioma. She remained free of symptoms and had no recurrence two years after surgery. A rare condition in an uncommon gender muhammads.khurram, 1 hamadullahshaikh, 2 uqbakhan, 1 jacobedens, 1 wardaibrar, 1 A rare tumor of the abdomen, is a diagnostic dilemma. benign multicystic peritoneal mesothelioma (bmpm) is a rare condition, more common in females of reproductive age, which arises from the peritoneal mesothelium. 2 the mesothelial origin was later confirmed by electron microscopy by mennemeyer and smith in 1979. mesotheliomas are rare neoplasms, usually arising from the serosal surface of organs in the pelvic region such as the bladder, uterus, ovaries, or rectum. Cystic mesothelioma is a very rare form of mesothelioma that originates in the peritoneum of the abdominal cavity.

0 comments